Cosmetic Dentistry in Makati
Cosmetic dentistry at DevelopDent is approached with clinical restraint and structural consideration. Aesthetic treatments are recommended when they enhance proportion, function, and long-term stability — not simply for cosmetic change alone.
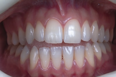
Porcelain Veneers
Custom-crafted porcelain veneers designed to improve tooth proportion, symmetry, and surface integrity while preserving as much natural structure as possible. Each case is carefully evaluated to ensure durability, bite compatibility, and natural appearance.
Composite Veneers
Minimally invasive aesthetic enhancement using layered composite materials to refine shape, close minor gaps, or improve surface irregularities. Suitable for patients seeking conservative smile adjustments.
Teeth Whitening
Professionally supervised whitening systems designed to safely and predictably improve tooth shade. Treatment planning considers existing restorations, enamel condition, and long-term maintenance.
Gum Contouring & Depigmentation
Soft tissue refinement procedures aimed at improving gum symmetry or reducing excess pigmentation. Performed with careful assessment of periodontal health and aesthetic balance.
Diastema Closure
Targeted correction of spacing concerns using conservative restorative techniques. Treatment planning prioritizes proportion, bite alignment, and long-term stability.
Structured Care. Lasting Results.
Thoughtful diagnosis and carefully delivered dentistry in Legazpi Village, Makati.
Phone
+63 915 819 6574
© 2026. All rights reserved. DevelopDent Dental Clinic.
Email
smile@developdent.com
Hours
Monday
Tuesday
Wednesday
Thursday
Friday
Saturday
Sunday
10:00 am - 07:00 pm
10:00 am - 07:00 pm
10:00 am - 07:00 pm
10:00 am - 07:00 pm
10:00 am - 07:00 pm
10:00 am - 07:00 pm
pre-scheduled only
